ΕΠΑΝΟΡΘΩΤΙΚΗ ΟΔΟΝΤΙΑΤΡΙΚΗ
Ατύχημα; Τερηδόνα; Μικρές ή μεγάλες βλάβες των δοντιών;
Τώρα μπορούν να αποκατασταθούν με τις σύγχρονες μεθόδους της επανορθωτικής οδοντιατρικής.
Εμφυτεύματα, κινητή ή ακίνητη προσθετική είναι μερικές από τις υπηρεσίες της επανορθωτικής οδοντιατρικής.

Εμφυτεύματα
Από το 1960 έως και σήμερα η επιστήμη μας ερευνά τρόπους ώστε να εξαλείψει τα μειονεκτήματα της ακίνητης και κινητής προσθετικής. Με την αποκατάσταση ενός ελλείποντος δοντιού με ένα εμφύτευμα ή και πλήρους νωδότητας με πολλαπλά εμφυτεύματα, εξασφαλίζουμε εξαιρετικά αποτέλεσματα όσον αφορά:
-
Την αισθητική
-
Τη μασητική λειτουργία όμοια με τα φυσικά μας δόντια
-
Την ελαχιστοποίηση της ατροφίας του οστού
-
Την βελτίωση της ψυχολογίας του ασθενούς, αφού έχει πάλι δικά του δόντια. Ιδιαίτερα στην περίπτωση που συνδυάζουμε εμφυτεύματα, στα οποία στηρίζεται οδοντοστοιχία, της οποίας η συγκράτηση και η σταθερότητα είναι άριστη.
Η διαδικασία για την τοποθέτηση εμφυτευμάτων ξεκινά αφού διαπιστωθεί η ανάγκη για την τοποθέτησή τους και εξεταστεί κλινικά & ακτινογραφικά ο ασθενής. Κατόπιν, προτείνεται από τον οδοντίατρό του το σχέδιο θεραπείας, οι χρόνοι τοποθέτησης και αναμονής. Κατάλληλο εμφύτευμα είναι εκείνο που θα μας παρέχει σωστά όλες τις λειτουργικές αλλά και αισθητικές απαιτήσεις για ένα σωστό και φυσικό αποτέλεσμα.
Τα εμφυτεύματα μπορούν να μπουν σε όλους;
Εμφυτεύματα μπορούν να τοποθετηθούν σε όλους τους ενήλικες αρκεί να υπάρχουν οι ενδείξεις από το ιατρικό και το οδοντιατρικό τους ιστορικό.
Για οποιαδήποτε απορία καλέστε μας ή συμπληρώστε τη φόρμα επικοινωνίας. Είμαστε εδώ για να σας βοηθήσουμε.
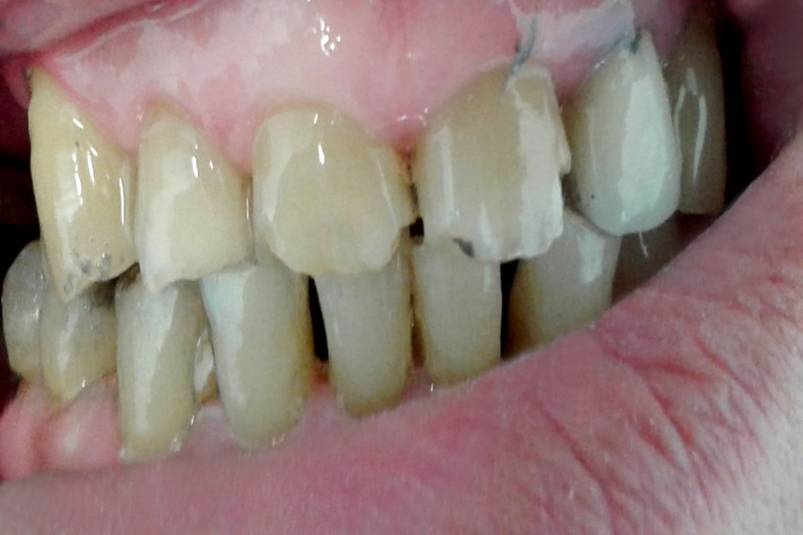
Ολική αποκατάσταση άνω γνάθου με στεφάνες πορσελάνης.
Προσθετική
Όταν χάσουμε ένα ή περισσότερα δόντια ξεκινάει μια αλυσιδωτή αντίδραση από το στοματογναθικό μας σύστημα:
-
Τα διπλανά δόντια από το κενό που δημιουργείται από την εξαγωγή: συγκλίνουν-στραβώνουν
-
Τα δόντια απέναντι από το κενό υπερεκφύονται-μακραίνουν
-
Η κροταφογναθική μας άρθρωση δυσλειτουργεί εξαιτίας της προσπάθειας του στόματος να δαγκώσει “όπου και όπως” μπορεί
-
Οι ιστοί γύρω από τα δόντια που χάθηκαν ατροφούν
-
Αρνητική αντίδραση στην ψυχολογία του ανθρώπου από το αντιαισθητικό κενό που δημιουργείται.
Τη λύση στα προβλήματα αυτά τη δίνει η Προσθετική.
Ακίνητη Προσθετική
Είναι η αποκατάσταση δοντιών που λείπουν, στηριζόμενα σε υπάρχοντα δόντια. Αφού τροποποιήσουμε τα διπλανά δόντια – στηρίγματα κατασκευάζουμε θήκες ή γέφυρες οι οποίες συγκολούνται μόνιμα επάνω σε αυτά συμπληρώνοντας τα δόντια που λείπουν με τρόπο αισθητικά και λειτουργικά πανομοιότυπο με τα φυσικά.
Κινητή Προσθετική
Όταν ο αριθμός ή η θέση των δοντιών που έχουν απομείνει μας περιορίζουν στην κατασκευή μιας μόνιμης ακίνητης αποκατάστασης τη λύση δίνει η κινητή προσθετική. Η κατασκευή μιας μερικής οδοντοστοιχίας λύνει το πρόβλημα της μάσησης, της ομιλίας και της ψυχολογίας του ασθενούς.
Ενδοδοντία - Απονεύρωση
Στο εσωτερικό κάθε δοντιού κάτω από την σκληρή αδαμαντίνη (σμάλτο) βρίσκεται ένας θάλαμος ζωντανού ιστού αποτελούμενου από τροφοφόρα αγγεία (αρτηρίες και φλέβες) και νεύρα. Έτσι τα δόντια μας αποκτούν ζωτικότητα και αίσθηση. Όταν η βλάβη από τερηδόνα ή από κάποιο κάταγμα φθάσει σε βαθμό ώστε να προσβληθεί ανεπανόρθωτα αυτή η μάζα ιστών (πολφός), παρεμβαίνουμε με την διαδικασία της ΕΝΔΟΔΟΝΤΙΚΗΣ ΘΕΡΑΠΕΙΑΣ, κοινώς την απονεύρωση. Στόχος είναι η ανακούφιση του ασθενούς από τα ισχυρά συμπτώματα (πόνος, πρήξιμο) αλλά και η διατήρηση του δοντιού στον οδοντικό φραγμό.
Στα ιατρεία μας διαθέτουμε:
-
Προηγμένο σύστημα μηχανοκίνητων εργαλείων νικελίου-τιτανίου, για ταχύτερη και πολλές φορές αποτελεσματικότερη θεραπεία
-
Ψηφιακή ακτινογραφία για μέγιστη λεπτομέρεια και ανάλυση της περιοχής μέσω υπολογιστή
-
LASER τελευταίας γενιάς για την αποτελεσματικότερη καταπολέμηση μικροβιακών λοιμώξεων σε αποστήματα.
Εμφράξεις
Στα οδοντιατρεία μας αναλαμβάνουμε να διορθώσουμε νέες ή παλιές βλάβες των δοντιών όπου χρειάζεται. Όταν το δόντι σπάσει ή τερηδονιστεί τότε χάνει το δομικό ιστό του και χρειάζεται αποκατάσταση. Εδώ, θα πρέπει να τονίσουμε πόσο σημαντικό είναι να αντιμετωπιστούν έγκαιρα τα τερηδονισμένα δόντια.
Τα τμήματα του δοντιού που καταστρέφει η τερηδόνα δεν αναγενιούνται δηλαδή δεν φτιάχνεται νέο δόντι, νέοι οδοντικοί ιστοί από τον οργανισμό μας. Και η τερηδόνα θα συνεχίσει το έργο της έως ότου φθάσει μέσα στον πολφό - στο νεύρο του δοντιού όπου από ένα απλό σφράγισμα που θα χρειαζόμασταν, να γίνει απονεύρωση ή και εξαγωγή!
Είναι λοιπόν σημαντικό να προλαμβάνονται τέτοιες καταστάσεις πηγαίνοντας ανά 6μηνο στον οδοντίατρό μας και ακολουθώντας τις οδηγίες του.
Όμορφα δόντια, υγιή έως το κόκκαλο!

